Artículo Original
Biolixiviación de metales pesados en residuos minero-metalúrgicos
Bioleaching of heavy metals in mining and metallurgical wastes
Biolixiviación de metales pesados en residuos minero-metalúrgicos
Siembra, vol. 10, núm. 2, e5538, 2023
Universidad Central del Ecuador

Recepción: 20 Septiembre 2023
Revisado: 06 Noviembre 2023
Corregido: 01 Diciembre 2023
Aprobación: 13 Diciembre 2023
Resumen: La biolixiviación de residuos minero-metalúrgicos para la remoción de metales pesados es un tema de gran relevancia en los campos ambiental, de salud pública y recuperación secundaria. Los metales pesados representan un riesgo latente para la salud cuando se dispersan en el ambiente, especialmente en el agua y el suelo, en concentraciones elevadas. En este estudio, se cultivó un conglomerado microbiano de microorganismos acidófilos-mesófilos obtenidos de biomasa natural generada por la oxidación de minerales. Estos microorganismos se aplicaron en el proceso de biolixiviación de residuos minero-metalúrgicos provenientes de una zona con altos niveles de contaminación por metales pesados y productora de residuos minero-metalúrgicos. El proceso se dividió en dos fases: una inicial en matraces agitados con 50 gramos de residuos durante 15 días, seguida de un escalamiento a 640 gramos en 8,3 litros. Este último se llevó a cabo con agitación a 85 rpm y una temperatura controlada entre 20 y 33 °C durante 30 días, simulando así un reactor a escala experimental. Los resultados destacan la solubilización exitosa de cobre y hierro de los residuos, con una remoción del 63.27% en cobre, 16.19% en hierro y 58.82% en arsénico, evaluados mediante mediciones de concentraciones antes y después de la biolixiviación. La reducción en la concentración de contaminantes subraya el potencial de este proceso para mitigar la contaminación y revalorizar los metales presentes en los residuos. Estos hallazgos orientan la investigación hacia métodos más sostenibles para el ambiente. La aplicación de la biolixiviación no solo brinda beneficios ambientales, sino que también establece una base para acciones en favor de la salud pública. La disminución de la presencia de metales pesados en los residuos contribuye significativamente a la protección de los ecosistemas y la salud de las comunidades cercanas a los sitios de disposición de residuos minero-metalúrgicos.
Palabras clave: biolixiviación, residuos, metales pesados, contaminación, salud pública.
Abstract: Bioleaching of mining-metallurgical waste to remove heavy metals is a topic of great importance in environmental, public health, and secondary recovery fields. Heavy metals, due to their harmful effects on health, pose a latent risk when dispersed in the environment, primarily in water and soil, at elevated concentrations. In this study, a microbial consortium of acidophilic-mesophilic microorganisms was cultivated from natural biomass resulting from mineral oxidation processes. These microorganisms were then applied in the bioleaching process of mining-metallurgical waste originating from an area with high levels of heavy metal contamination and a producer of mining-metallurgical waste. The process was carried out in two phases: initially in agitated flasks with 50 grams of waste for 15 days, followed by scaling up to 640 grams in 8.3 liters. This scaling-up was performed with agitation at 85 rpm and a controlled temperature between 20 and 33 °C for 30 days, simulating an experimental-scale reactor. Successful copper and iron solubilization from the waste was achieved, with a removal of 63.27% in copper, 16.19% in iron, and 58.82% in arsenic, assessed through concentration measurements before and after bioleaching. The reduction in contaminant concentration underscores the potential of this bioleaching process to mitigate pollution and revalorize metals present in the waste. These findings guide research towards more environmentally friendly methods. The application of bioleaching not only provides environmental benefits but also lays the groundwork for action in favor of public health. Reducing the presence of heavy metals in waste significantly contributes to the protection of ecosystems and the health of communities near mining-metallurgical waste disposal sites.
Keywords: bioleaching, waste, heavy metals, pollution, public health.
1. Introducción
En el Ecuador, existen zonas de relevancia económica impulsada por las actividades mineras, un ejemplo de esto lo tenemos en la provincia del Azuay en el cantón Camilo Ponce Enríquez (Escobar-Segovia et al., 2020). La zona geológica de Ponce Enríquez contiene altas cantidades de minerales de tipo sulfuro como pirita, pirrotina, arsenopirita, calcopirita y esfalerita, las cuales son parte de la materia prima extraída con el fin de procesamiento mineral (Salazar & Lozada, 2018). Los metales pesados y metaloides típicos en conformar sulfuros son Cu, Fe, As, Pb, Cd, Zn entre otros, al liberarse representan peligros para el medio ambiente y la salud humana (Jiménez-Oyola et al., 2021). Las actividades mineras luego de su procesamiento mineral permiten a una parte de estos minerales mantenerse persistentes en los residuos minero-metalúrgicos ampliamente conocidos como relaves (Peña Carpio y Menéndez-Aguado et al., 2016).
Estudios han corroborado que, de la totalidad del material sometido a procesamiento que a nivel mundial alcanzan enormes cifras, un porcentaje superior al 95% se transforma en residuos (Falagán et al., 2017; Schoenberger, 2016). El procesamiento de minerales sulfurosos representa un riesgo para los recursos hídricos. La problemática de la oxidación de sulfuros empobrece la calidad del agua con sulfatos, hierro (III), metales pesados y metaloides (Lindsay et al., 2015). Los residuos del proceso, no poseen una adecuada gestión, debido a esto se ha llevado a la contaminación de cuerpos de agua superficiales por el vertido directo de residuos minero-metalúrgicos. Los ríos cercanos al sector contienen altas cantidades de metales pesados tanto en agua como sedimentos. (Carling et al., 2013; Reyes et al., 2016).
Metales presentes en los residuos tienen una gran movilidad a bajo pH tales son el Cu, Fe, Zn. El proceso de oxidación de sulfuros propiciado por microorganismos generadores de drenajes ácidos es ampliamente difundido. Este fenómeno habilita la capacidad de los residuos minero-metalúrgicos para generar drenaje ácido y facilitar la movilidad de metales pesados, como el cobre, hierro y arsénico (Tabelin et al., 2020). Se ha utilizado en recuperaciones de cobre en minerales de baja ley en medios controlados utilizando variedades de organismos unicelulares. Responsables de reacciones químicas precursoras de este proceso conocido como biolixiviación (Latorre et al., 2016; Zhang et al., 2020) La biolixiviación no sólo se usa como un método secundario para aumentar la recuperación de metales de los residuos. Se ha propuesto su empleo como una alternativa de bajo costo, más amigable con el ambiente en materia de saneamiento ambiental. La propuesta se enfoca en remover metales pesados (Park et al., 2014).
Los metales pesados y metaloides es una problemática grave ya que los recursos hídricos son la base de cualquier actividad. Se compromete con ello la seguridad alimentaria y salud pública global por las actividades antrópicas. Los metales pesados y metaloides afectan de forma distinta, estas van desde el daño a órganos vitales hasta desarrollo de varios tipos de cáncer (Reyes et al., 2016).
La oxidación de azufre y hierro Fe2+ hacia Fe3+, es el efecto de los microorganismos responsables de la biolixiviación (Hoffman, 2020). Especies unicelulares utilizadas para la biolixiviación resaltan del género Thiobacillus que han ganado reconocimiento por ser usados de manera industrial en la biohidrometalurgia para recuperación de metales de residuos minero metalúrgicos (Gao et al., 2021).
2. Materiales y Métodos
2.1. Muestras de residuos minero-metalúrgicos
En el sector de la muestra de estudio se explota minerales con altas cantidades de sulfuros, por lo cual parte de estos minerales se hacen presentes en los residuos minero- metalúrgicos (Mäkinen et al., 2020). La muestra de relaves fue donada por la Compañía Minera Gaocas S.A. Planta de beneficio de minerales situada en el sector de Zhumiral. Camilo Ponce Enríquez, Azuay, Ecuador. En esta planta de beneficio se llevan a cabo los procesos de concentración por flotación y el proceso de hidrometalurgia mediante la cianuración. Se generó una muestra representativa para el análisis, esta toma de muestra se la generó directamente en la tubería de descarga hacia la relavera.
2.2. Caracterizaciones de los residuos minero-metalúrgicos
En la Tabla 1 se muestran los ensayos realizados en el Instituto de Investigaciones Geológico Energéticas del Ecuador (IIGE) y en la Facultad de Ingeniería en Minas petróleos y Ambiental (FIGEMPA).
| Ensayo | Norma |
| Granulometría | ASTM D422-C136 |
| ICP-OES | ASTM E2941-14 |
| XRF | ASTM E1605-04 |
| XRD | Análisis Retvield |
| Absorción atómica | NCH - ISO 17025 |
Table 1. Physical, chemical and mineralogical characterization
2.3. Medios de cultivo y enriquecimiento microbiano
Para el cultivo bacteriano se utilizaron dos medios de cultivo líquidos, el medio 9k (Temple & Colmer, 1951): 3 g l-1; KCl, 0,1 g l-1; 0,5 g l-1; 0,5 g l-1; 0,1 g l-1, 44,2 g l-1. También se usó el medio 9k modificado (TK), este último tiene 10 g l-1 de tiosulfato en lugar del sulfato ferroso. Los cultivos microbianos se llevaron a cabo en matraces Erlenmeyer de 250 ml de capacidad, a una temperatura de 30 °C con agitación magnética a 120 RPM.
2.4. Pruebas de lixiviación a nivel de laboratorio
Se llevaron a cabo experimentos de lixiviación microbiana utilizando matraces Erlenmeyer de 1 litro de capacidad, colocados en placas de agitación magnética a una velocidad de 120 revoluciones por minuto y a una temperatura de 30 °C, utilizando una densidad de pulpa del 8 %. Cada matraz se llenó con 700 ml de Medio de Cultivo 9K previamente disuelto al 7 %. Además, se llevaron a cabo pruebas de lixiviación sin la adición de inóculo microbiano, con el propósito de comparar la velocidad de oxidación de las reacciones químicas con aquellas que tienen lugar en presencia de un catalizador biológico.
2.5. Pruebas de biolixiviación en mayor escala
Temperatura oscilante entre los 20 y 33 °C se obtuvo acidez ≃ 1.5. Las RPM generadas fueron de 85 RPM. En un volumen de 8,3 litros, se sometieron a ensayo 640 g de residuos minero metalúrgicos. Se puede observar en un esquema resumen en la Figura 1.

Figure 1. Schematic of the operation of a controlled environment for scaling of the process
3. Resultados
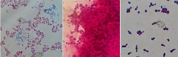
Los siguientes resultados se deben a los ensayos realizados a la muestra de residuos previo al proceso de biolixiviación. En la Figura 2 se observa la tinción microbiana, en la Tabla 2 los resultados de la caracterización de residuos mediante ensayos ICP-OES, DRX y FRX. Las concentraciones de metales de ICP-OES se describen en unidades mm kg-1, su equivalente es ppm. Los resultados del ensayo FRX (Fluorescencia de rayos X) de caracterización previa al proceso de biolixiviación presentan los elementos químicos que conforman los residuos minerales. En la identificación de los minerales presentes (elementos mayores) en los residuos se utilizó los resultados de la Difracción de rayos X.

Figure 2. Gram staining of the consortium of acidophilic microorganisms. Magnification 100x
| ICP-OES | DRX | FRX | |||||
| Elemento | Concentración | Compuesto | Peso | Elemento | Peso | ||
| mm kg-1 | % | % | |||||
| Cu | 536,71 | MgO | 2,025 | Cuarzo | 70,3 | ||
| Fe | 64.708,09 | Al2O3 | 5,613 | Nontrita | 12,9 | ||
| Zn | 996,00 | SiO2 | 74,556 | Albita-Anortita | 11,0 | ||
| As | 888,50 | SO3 | 0,733 | Anfíbol | 3,9 | ||
| Cd | 27,31 | K2O | 0,150 | Calcita | 1,9 | ||
| Pb | 27,94 | CaO | 2,107 | ||||
| TiO2 | 0,542 | ||||||
| Mn2O3 | 0,086 | ||||||
| Fe2O3 | 9,967 | ||||||
| PPC** | 3,741 | ||||||
Table 2. Concentration of elements of interest by ICP-OES, XRD and XRF.
Una vez obtenidos los datos se pudo partir a las primeras pruebas de laboratorio en matraces como se especificó previamente. Los resultados arrojaron que el proceso de biolixiviación de residuos minero-metalúrgicos inoculado con microorganismos capaces de biooxidación presentó cambios en la solución. En el matraz sin inóculo microbiano los valores de pH y TDS no tuvieron cambios significativos a lo largo del experimento (Tabla 3). Tanto el cobre como el hierro se mantuvieron indetectables en la solución.
| Fecha | pH | TDS | Fe | Cu |
| ppm | ppm | ppm | ||
| 09/1/2023 | 6,94 | 1040 | -0,178 | -0,85 |
| 12/1/2023 | 7,3 | 1280 | - | - |
| 16/1/2023 | 7,55 | 1390 | - | - |
| 19/1/2023 | 7,55 | 1440 | - | - |
| 23/1/2023 | 7,73 | 1490 | -0,166 | -0,87 |
Table 3. Bioleaching results in flask without microbial inoculum.
Como parte del proceso de biolixiviación se muestra la evolución del pH a través de los días que duró el experimento (Figura 3), y los cambios de cobre disuelto (Figura 4).

Figure 3. Evolution of pH for 30 days of testing.

Figure 4. Changes in dissolved copper over the test time at laboratory
Muestras de líquido tomadas de forma periódica lunes y jueves se sometieron a espectrometría de absorción atómica generando concentraciones de Cu y Fe solubilizadas (Figura 5).

Figure 5. Solubilized copper and iron concentrations
Al final del proceso de biolixiviación se realizó ensayos los cuales muestren que cambios sucedieron dentro del proceso ejecutado. Con base en estos ensayos realizados por el IIGE se pudo realizar procedimientos de cálculos para la evaluación de la remoción de arsénico. A partir de este punto las tablas de ensayos fueron de la muestra sometida a biolixiviación. Las concentraciones de metales de interés se ven en la Tabla 4.
| Elemento | Concentración | |
| mg kg-1 | ||
| Cu | 197.12 | |
| Fe | 54232.18 | |
| Zn | 48.54 | |
| As | 365,85 | |
| Cd | 17,96 | |
| Pb | 21,25 |
Table 4. Final concentration of target elements in the analysis
Los cambios de la mineralogía mediante DRX y los elementos mayores del ensayo FRX, se pueden observar en la Tabla 5.
| Elemento | Peso | Compuesto | Peso | |||
| % | % | |||||
| Cuarzo | 55,0 | Na2O | 0,239 | |||
| Nontrita | 8,1 | MgO | 1,741 | |||
| Albita-Anortita | 1,2 | Al2O3 | 4,437 | |||
| Gypsum | 7,5 | SiO2 | 56,626 | |||
| S elemental | 28,2 | SO3 | 0,991 | |||
| K2O | 0,109 | |||||
| CaO | 2,059 | |||||
| TiO2 | 0,312 | |||||
| Mn2O3 | 0,055 | |||||
| Fe2O3 | 6,756 | |||||
| PPC** | 24,700 |
Table 5. XRD and XRF test results
Con los datos pertinentes de las concentraciones presentes de metales pesados en los residuos, tanto antes como después del ataque microbiano desarrollado en el biorreactor experimental, se establecieron los porcentajes de ausencia de los metales comparando los valores inicial y final. La eficiencia de remoción de arsénico en el presente trabajo se calculó mediante la ecuación [1].
[1]donde:
[As]i= Concentración de arsénico inicial en mg kg-1.
[As] = Concentración de arsénico después del tratamiento en mg kg-1.
Los cálculos ejecutados son una manera directa de establecer la relación directa porcentual entre las cantidades de metales. De forma gráfica esto es visible en la Figura 6, dando el conteo porcentual de remoción de elementos.

Figure 6. Metal removal rates
4. Discusión
Normalmente los residuos provenientes del proceso de separación de los minerales económicos y roca estéril se consideran peligrosos, debido a que, con el tiempo, los minerales sulfurosos restantes se oxidan, generando lixiviados enriquecidos en metales potencialmente contaminantes (Lindsay et al., 2015; U.S. Environmental Protection Agency, 1994) La eliminación del azufre en los desechos mineros mediante ataque microbiano implica la posibilidad de inhibir completamente la generación de drenajes ácidos, y, por lo tanto, detener la migración de metales pesados al suelo y cuerpos de agua. En el contexto de esta investigación se logró replicar los procesos naturales en un ambiente controlado, con el objetivo de estabilizar químicamente un desecho peligroso. Aumentando las condiciones favorables para el accionar de los microorganismos, con la intención de aumentar la remoción de metales pesados.
Los metales pueden volverse solubles en condiciones ácidas y estar en una fase líquida dentro de un ambiente controlado. Este proceso se ve evidenciado mediante absorciones atómicas. Es posible verificar la ausencia de metales repitiendo ensayos para análisis de compuestos y elementos.
La significativa remoción del 63,27% de la concentración de cubre, 16,19% en hierro y la de arsénico constituye un logro que debe seguir siendo estudiado por ser metales pesados altamente tóxicos y contaminantes. El método requiere más ensayos para determinar los nuevos compuestos que se han formado en la fase líquida del lixiviado. Es considerable aceptar que dicho hallazgo representaría la forma de neutralizar los residuos minero-metalúrgicos. Paralelamente a esto, un punto que merece interés es el análisis de la recuperación de metales con valor económico presentes, que podría recuperarse dándole un valor a los residuos (Fomchenko y Muravyov, 2020) De esta manera la revalorización y el saneamiento ambiental crean el panorama apto para la sostenibilidad.
El experimento aún requiere procesos experimentales que aporten más datos, que permitan determinar la eficiencia de todos los procesos dados en la biolixiviación. Sin embargo, los parámetros externos controlables con tecnología experimental incidieron de forma positiva. Al trabajar dentro de la mejora de los microorganismos como su metabolismo, resistencia a la cantidad de metales disueltos, taza de crecimiento y duplicación generacional se podrá obtener mejoras de los resultados dado que la ramificación de la investigación en este campo tienes muchas oportunidades. Aprovechando el hecho de que los microorganismos provienen de un aislamiento directo de la naturaleza.
5. Conclusiones
Los microorganismos generadores de lixiviados con metales peligrosos y contaminantes representan problemas para la gestión de residuos minero-metalúrgicos e incluso minas en operación. Pero con un enfoque diferente pueden ser beneficiosos en un ambiente controlado, siempre y cuando se identifiquen sus funciones vitales sobre residuos con elementos aprovechables para ellos. Dada la característica de liberar metales pesados de minerales, y paralelamente la generación de acidez con oxidación férrica produce un medio que aumenta la cantidad de metales liberados a un medio líquido controlado.
La pasivación de residuos es un tema que debe ser tratado de forma urgente, por el motivo de que la generación de residuos minero-metalúrgicos es constante y mueve gran parte de la economía de un país en vías de desarrollo. El presente estudio demuestra que existen opciones para generar metodologías que pueden implementarse con el objetivo de tener una industria con un desarrollo sostenible.
Los metales pesados y metaloides constituyen un punto de análisis dentro de la salud pública y debe ser difundido. Las enfermedades asociadas a intoxicación por metales pesados en poblaciones que consumen agua y demás elementos dependientes de la misma deben ser atendidas a tiempo una vez conocida la problemática.
Contribuciones de los autores
Santiago Martín Salinas García: conceptualización, investigación, metodología, recursos.
Juan David Rosero Mosquera: investigación, metodología, recursos, redacción – borrador original.
Félix Daniel Andueza Leal: metodología, redacción – borrador original.
Diana Karina Fabara Salazar: conceptualización, redacción – borrador original, redacción – revisión y edición.
Danny Santiago Burbano Morillo: redacción – revisión y edición.
Sonia Elizabeth Chamorro Armas: investigación.
Darío Damián Lozada Fiallos: conceptualización, supervisión, redacción – borrador original, redacción – revisión y edición.
Implicaciones éticas
Los autores declaran que no existen implicaciones éticas.
Conflicto de interés
Los autores declaran que no existen conflictos de interés financieros o no financieros que podrían haber influido en el trabajo presentado en este artículo.
Información adicional
Este artículo es producto del póster presentado en el Encuentro Cientfìico “Una Sola Salud, Biodiversidad e Inocuidad Alimentaria”, desarrollado el 17 y 18 de julio de 2023.
Referencias
Tabelin, C. B., Corpuz, R. D., Igarashi, T., Villacorte-Tabelin, M., Alorro, R. D., Yoo, K., Raval, S., Ito, M., e Hiroyoshi, N. (2020). Acid mine drainage formation and arsenic mobility under strongly acidic conditions: Importance of soluble phases, iron oxyhydroxides/oxides and nature of oxidation layer on pyrite. Journal of Hazardous Materials, 399, 122844. https://doi.org/10.1016/j.jhazmat.2020.122844
Carling, G. T., Diaz, X., Ponce, M., Perez, L., Nasimba, L., Pazmino, E., Rudd, A., Merugu, S., Fernandez, D. P., Gale, B. K., y Johnson, W. P. (2013). Particulate and dissolved trace element concentrations in three southern ecuador rivers impacted by artisanal gold mining. Water, Air, and Soil Pollution, 224(2), 1415. https://doi.org/10.1007/s11270-012-1415-y
Escobar-Segovia, K., Loy-Benitez, J., Mariño-Garzón, D., y Cuervas-Mons, J. (2020). Alteration and mineralization in mining works in the sector Bella Rica: Distrito Minero Ponce Enríquez. GEO Latitud, 3(1), 1-14. https://geolatitud.geoenergia.gob.ec/ojs/ojs/index.php/GeoLatitud/article/download/47/74/
Falagán, C., Grail, B. M., y Johnson, D. B. (2017). New approaches for extracting and recovering metals from mine tailings. Minerals Engineering, 106, 71-78. https://doi.org/10.1016/j.mineng.2016.10.008
Fomchenko, N., y Muravyov, M. (2020). Sequential bioleaching of pyritic tailings and ferric leaching of nonferrous slags as a method for metal recovery from mining and metallurgical wastes. Minerals, 10(12), 1097. https://doi.org/10.3390/min10121097
Gao, X., Jiang, L., Mao, Y., Yao, B., y Jiang, P. (2021). Progress, Challenges, and Perspectives of Bioleaching for Recovering Heavy Metals from Mine Tailings. Adsorption Science and Technology, 2021, e9941979. https://doi.org/10.1155/2021/9941979
Hoffman, N. D. (2020). Cultivation and Use of Acidithiobacillus ferrooxidans in Tellurium Biorecovery. Idaho National Laboratory. https://doi.org/10.2172/1740004
Jiménez-Oyola, S., Chavez, E., García-Martínez, M.-J., Ortega, M. F., Bolonio, D., Guzmán-Martínez, F., García-Garizabal, I., y Romero, P. (2021). Probabilistic multi-pathway human health risk assessment due to heavy metal(loid)s in a traditional gold mining area in Ecuador. Ecotoxicology and Environmental Safety, 224, 112629. https://doi.org/10.1016/j.ecoenv.2021.112629
Latorre, M., Cortés, M. P., Travisany, D., Di Genova, A., Budinich, M., Reyes-Jara, A., Hödar, C., González, M., Parada, P., Bobadilla-Fazzini, R. A., Cambiazo, V., y Maass, A. (2016). The bioleaching potential of a bacterial consortium. Bioresource Technology, 218, 659–666. https://doi.org/10.1016/j.biortech.2016.07.012
Lindsay, M. B. J., Moncur, M. C., Bain, J. G., Jambor, J. L., Ptacek, C. J., y Blowes, D. W. (2015). Geochemical and mineralogical aspects of sulfide mine tailings. Applied Geochemistry, 57, 157-177. https://doi.org/10.1016/j.apgeochem.2015.01.009
Mäkinen, J., Salo, M., Khoshkhoo, M., Sundkvist, J. E., y Kinnunen, P. (2020). Bioleaching of cobalt from sulfide mining tailings; a mini-pilot study. Hydrometallurgy, 196, 105418. https://doi.org/10.1016/j.hydromet.2020.105418
Peña Carpio, E., y Menéndez-Aguado, J. M. 2016. Environmental study of gold mining tailings in the Ponce Enriquez mining area (Ecuador). DYNA, 83(195), 237-245. DOI:https://doi.org/10.15446/dyna.v83n195.51745.
Park, J., Han, Y., Lee, E., Choi, U., Yoo, K., Song, Y., y Kim, H. (2014). Bioleaching of highly concentrated arsenic mine tailings by Acidithiobacillus ferrooxidans. Separation and Purification Technology, 133, 291-296. https://doi.org/10.1016/j.seppur.2014.06.054
Reyes, Y. C., Vergara, I., Torres, O., Díaz Lagos, M., González Jiménez, E. E. (2016). Contaminación por metales pesados: Implicaciones en salud, ambiente y seguridad alimentaria. Ingeniería Investigación y Desarrollo, 16(2), 66-77. https://doi.org/10.19053/1900771X.v16.n2.2016.5447
Salazar, A. M., y Lozada, D. (2018). Optimización de una operación minera (geometalurgia) – caso de estudio Minereicis S.A. FIGEMPA: Investigación y Desarrollo, 5(1), 15-19. https://doi.org/10.29166/revfig.v1i1.816
Schoenberger, E. (2016). Environmentally sustainable mining: The case of tailings storage facilities. Resources Policy, 49, 119-128. https://doi.org/10.1016/j.resourpol.2016.04.009
Temple, K. L., y Colmer, A. R. (1951). The autotrophic oxidation of iron by a new bacterium, Thiobacillus ferrooxidans. Journal of Bacteriology, 62(5), 605-611. https://doi.org/10.1128/jb.62.5.605-611.1951
U.S. Environmental Protection Agency. (1994). Design and Evaluation of Tailings Dams. Technical Report. U.S. Environmental Protection Agency. https://archive.epa.gov/epawaste/nonhaz/industrial/special/web/pdf/tailings.pdf
Zhang, R., Hedrich, S., Römer, F., Goldmann, D., y Schippers, A. (2020). Bioleaching of cobalt from Cu/Co-rich sulfidic mine tailings from the polymetallic Rammelsberg mine, Germany. Hydrometallurgy, 197, 105443. https://doi.org/10.1016/j.hydromet.2020.105443
Notas de autor
ssalinas_ecu@yahoo.es
Información adicional
e-location: e5538